-
-
-
Tổng tiền thanh toán:
-
Bệnh Tôm Còi (chậm lớn) MBV do Monodombaculovirus
16/04/2024 Đăng bởi: Sales AdminBệnh này thường bị nhiễm trong giai đoạn sản xuất giống trên tôm sú, làm tôm chậm lớn (còi) tạo điều kiện thuận lợi cho các bệnh khác như (tôm bị đóng rong, bệnh do vi khuẩn vibrio,…) xảy ra. Tỉ lệ chết của tôm phụ thuộc vào cách quản lý môi trường nước ao nuôi, thức ăn, dinh dưỡng cho tôm.
1. Phân bố và truyền bệnh
Bệnh MBV được phát hiện đầu tiên năm 1980 ở đàn tôm sú (penaues monodon) đưa từ Đài Loan đến nuôi ở Mehico. Tiếp theo các nhà nghiên cứu đã phát hiện bệnh MBV có xuất phát từ Đài Loan, Philippines, Malaysia, Polynesia thuộc pháp, Singapore, Indonesia, Thái Lan, Trung Quốc,… ở Đài Loan bệnh MBV có liên quan thiệt hại nghiêm trọng cho nghề nuôi tôm sú năm 1987 và 1988. Cho đến nay người ta biết bệnh MBV phân bố rất rộng rãi: Châu Á, Thái Bình Dương, Châu Phi, Miền Nam Châu Âu, Châu Mỹ. Tôm sú thường siêng nhiễm bệnh MBV và một số tôm khác cũng nhiễm bệnh MBV. Virus MBV nhiễm từ post- larvae đến tôm trưởng thành.
Bệnh MBV lan truyền theo phương nằm ngang (môi trường), không truyền bệnh theo phương thẳng đứng (từ bố mẹ).
MBV không làm tôm chết hàng loạt, nhưng làm tôm chậm lớn và chết rải rác. Khi thu hoạch tỷ lệ tôm sống rất thấp.
2. Tác nhân gây bệnh và quá trình diễn biến của bệnh
Tác nhân gây bệnh MBV (Monodon baculovirus) là virus type A baculovirus monodon, cấu trúc nhân (acid nucleoic) là ds AND, có lớp vỏ bao, dạng hình que.
Virus ký sinh ở tế bào biểu mô hình ống gan tụy và tế bào biểu bì phía trước ruột giữa, virus tái sản xuất bên trong nhân tế bào vật nuôi, bao gồm các giai đoạn sau:
Giai đoạn 1: nhân tế bào sưng nhẹ, các nhiễm sắc thể tan ra và di chuyển ra sát màng nhân. Tế bào chất mất dần chức năng của chúng và hình thành giọt mỡ. virus bắt đầu gây ảnh hưởng.
Giai đoạn 2: nhân sưng nhanh, số lượng virus tăng nhanh, xuất hiện thể ẩn (occlusion bodies) trong nhân
Giai đoạn 3: tế bào bị bệnh, nhân tăng lên gấp 2 lần, đường kính bình thường và tăng 6 lần về thể tích. Bên trong nhân có một đến nhiều thể ẩn, trong thể ẩn chứa đầy các virus. Các virus phá hủy các tế bào ký chủ, tiếp tục di chuyển sang tế bào khác hoặc theo chất bài tiết ra ngoài môi trường, tạo thành virus tự do tồn tại trong bùn và nước.
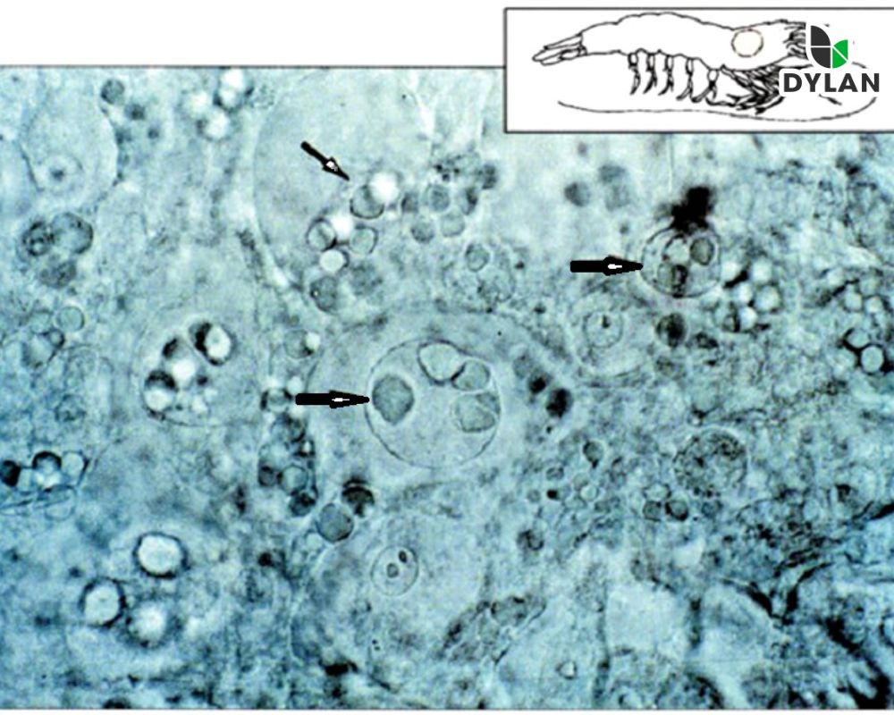
- Khi quan sát thể ẩn bệnh MBV trên kính hiển vi.

Hình 1. Các thể ẩn (è) trong nhân tế bào gan tụy tôm sú được nhuộm xanh malachite 0,5% X400.

Hình 2.Gan tụy tôm sú nhiễm bệnh MBV, các thể ẩn (è) màu đỏ, nhân màu xanh tím, nhuộm màu H&E (X400).

Hình 3. Trong phân tôm mắc bệnh MBV quan sát dưới kính hiển vi xuất hiện các thể ẩn MBV nhìn thấy được có hình tròn, khúc xạ ánh sáng, đơn độc hoặc xuất hiện thành cụm, thể ẩn MBV trong cụm dính với nhau bởi màng nhân. Thêm malachite green 0,1% , thể ẩn bắt màu xanh đậm hơn các phần khác.
3. Dấu hiệu bệnh lý
Tôm chậm lớn, cỡ tôm không đồng đều, ăn yếu, màu sắc sẩm tối , nhỏ, ốm, ốp thân, thịt không đầy vỏ, gan tụy teo nhỏ, dai, không lột hoặc chậm lột xác.
Các phần phụ và vỏ kitin có hiện tượng hoại tử, có nhiều sinh vật bám (ký sinh trùng đơn bào, tảo bám và vi khuẩn dạng sợi).
Tỷ lệ chết dồn tích, cao tới 70% hoặc có tỉ lệ tôm chết tùy theo môi trường nước, và cách quản lý ao.

Hình 5.Tôm sú nhiễm bệnh tôm chậm lớn, tôm màu xanh xẫm.
4. Phòng Bệnh.
+ Tôm giống phải được kiểm PCR không nhiễm bệnh MBV
- Cách kiểm tra shock formol xác định tỉ lệ mẫu đàn tôm khỏe
Shock formol :1 lít nước cho 100 con giống ngẫu nhiên, pha formol 200 ppm (0,2ml formol) để 1 h, nếu tôm sống >95% đàn tôm khỏe.
+ Tẩy dọn ao, bể nuôi thật kĩ trước khi thả
+ Nuôi tôm đúng mùa vụ, quản lý chăm sóc tốt, cung cấp đầy đủ thức ăn về chất và lượng, không để tôm sốc trong quá trình nuôi.
DYLAN THÔNG BÁO LỊCH NGHỈ LỄ 2/9/2025 (25/08/2025)
Hành Trình Nha Trang Đầy Kỉ Niệm Với Tôi – Khi Biển Xanh Gọi Tên và Trái Tim Dylan Gắn Kết (16/08/2025)
DYLAN THÔNG BÁO LỊCH NGHỈ DU LỊCH 2025 (04/08/2025)
CHÀO MỪNG NGÀY ĐẠI THẮNG 30/04 VÀ NGÀY QUỐC TẾ LAO ĐỘNG 01/05 DYLAN TRÂN TRỌNG THÔNG BÁO LỊCH NGHỈ LỄ (25/04/2025)
Công Ty Dylan Lịch Thông Báo Nghỉ Lễ Giỗ Tổ Hùng Vương Công Ty Dylan 2025 (03/04/2025)
Hội Thảo "Hợp Tác Quốc Tế – Kết Nối Nhà Nông Với Công Nghệ Phân Bón Hữu Cơ Tiên Tiến" Thành Công Tốt Đẹp (15/03/2025)